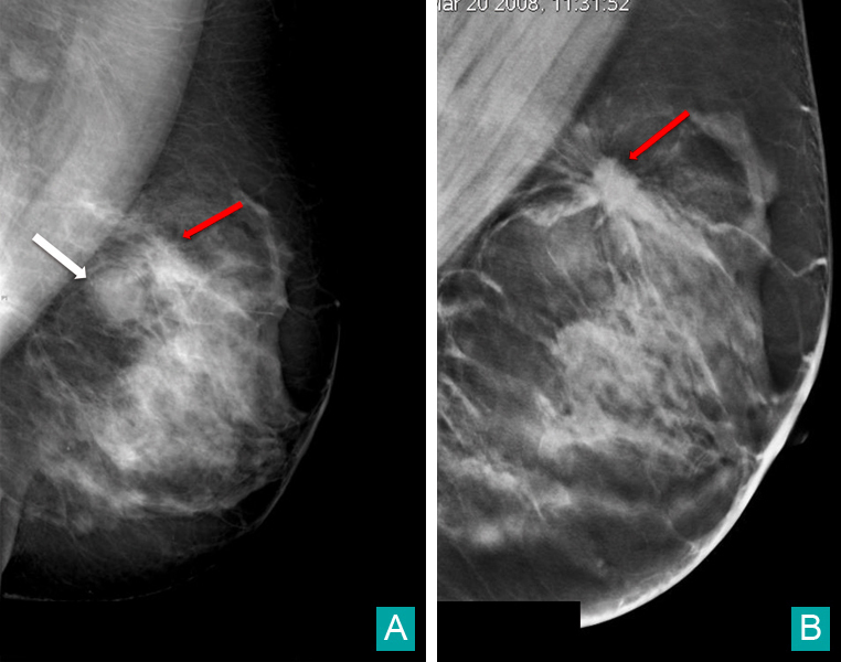
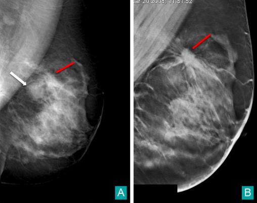
Patiente âgée de 58 ans réalisant une mammographie systématique dans le cadre du dépistage organisé. Le bilan réalisé deux ans auparavant montrait un kyste profond banal du quadrant supéro-externe gauche. Sur l'incidence oblique gauche (fig. A), on retrouve la masse ronde profonde bien circonscrite prépectorale supérieure correspondant au kyste connu (flèche blanche), classée BI-RADS 2. Au-dessus de cette masse (flèche rouge) est apparu un surcroît de densité mal défini dont les contours semblent spiculés. Un cliché complémentaire de tomosynthèse en incidence oblique est réalisé (fig. B) et permet de mettre plus clairement en évidence les spicules de la lésion classée BI-RADS 5. La biopsie a confirmé la malignité.
Lire aussi
Exercice
Article Web
Article Web