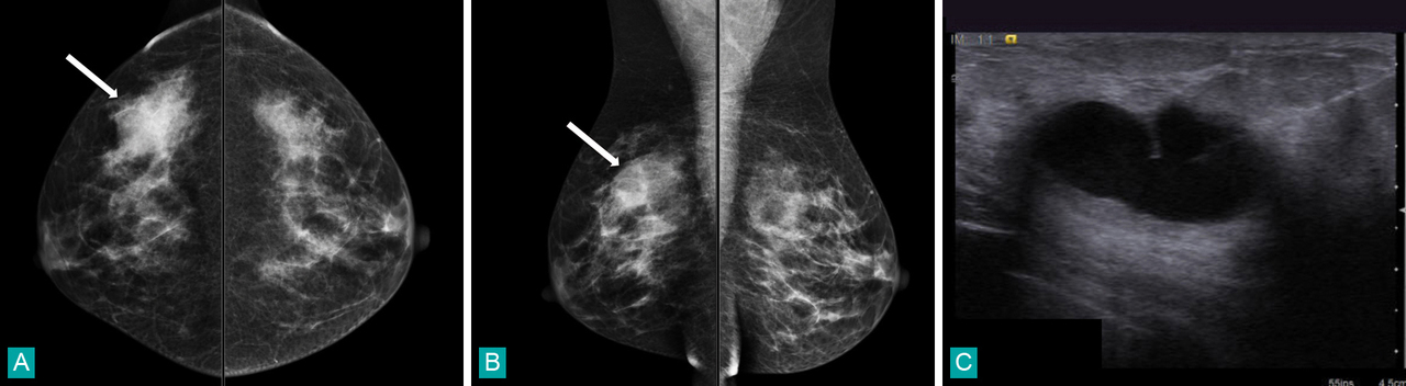
Patiente âgée de 46 ans ayant une masse palpable douloureuse du quadrant supéro-externe du sein droit. Les incidences de mammographie sont lues "en miroir" pour détecter plus aisément une asymétrie de densité mammaire. Par convention, le sein droit est disposé à gauche, sur les incidences de face, la partie externe du sein se projette en haut du cliché, en oblique, c'est la partie supérieure du sein qui se projette en haut du cliché. On identifie aussi bien sur les incidences en compression crânio-caudale (face) [fig. A] qu'en latéral-oblique (fig. B) une asymétrie de densité glandulaire du quadrant supérieur et externe du sein droit (flèche). Cette anomalie se traduit en échographie (fig. C) par un volumineux kyste (masse anéchogène renforçant le faisceau ultrasonore). Notez sur l'image d'échographie la visualisation d'une aiguille de ponction sur la droite.
Lire aussi
Exercice
Article Web
Article Web