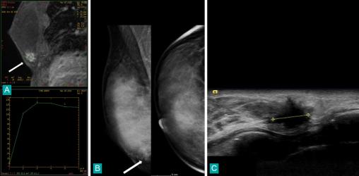
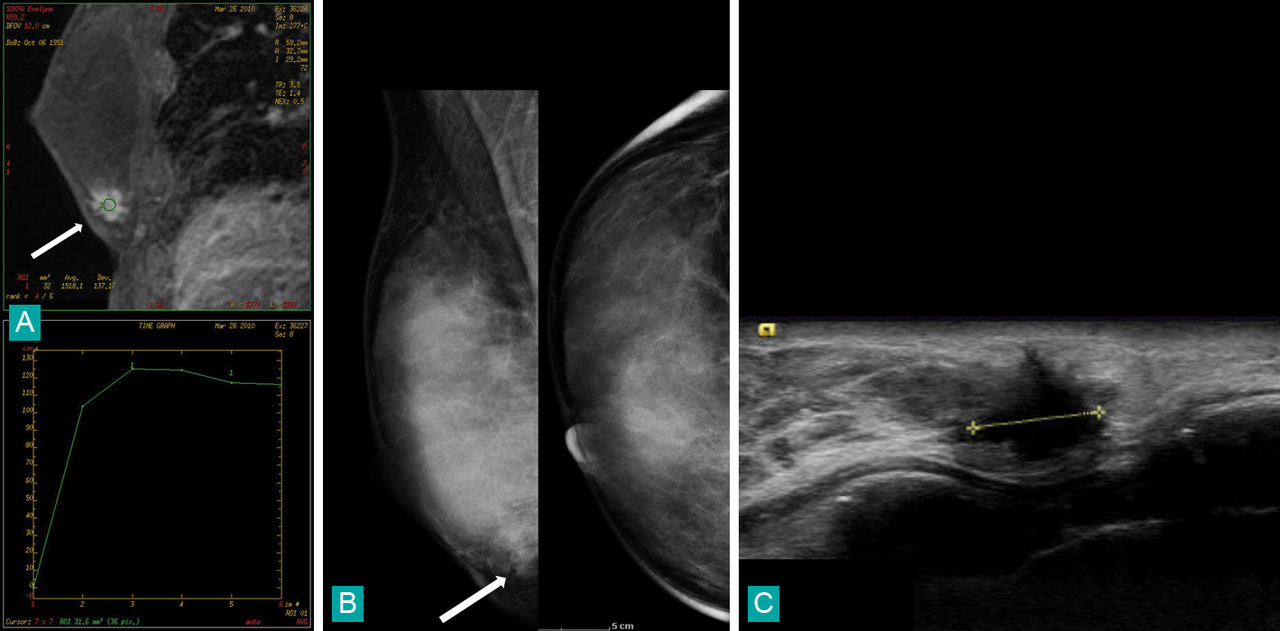
Patiente âgée de 42 ans, porteuse d’une mutation génétique prédisposant au cancer du sein (BRCA1). L'IRM mammaire (fig. A) est réalisée pour le dépistage annuel systématique. Cet examen identifie une masse spiculée rehaussée par le produit de contraste dans la partie profonde et inférieure du sein droit (flèche). La courbe en bas de l'image représente l'évolution au cours du temps de l'intensité du signal au sein de la masse, elle est de type II, en faveur de la malignité. La mammographie réalisée le jour même au décours (fig. B) trouve difficilement cette masse profonde du bord de glande inférieur sur l'incidence oblique (à gauche) [flèche] et ne la retrouve pas sur l'incidence de face en raison de sa profondeur. L'échographie ciblée (fig. C) identifie dans le sillon sous-mammaire droit une masse tissulaire spiculée. La microbiopsie échoguidée a permis le diagnostic de carcinome canalaire infiltrant.
Lire aussi
Exercice
Article Web
Article Web