Skip to main navigation
Header navigation
Newsletters
Librairie
Plus
Sous menu plus
larevuedupracticien
larevuedupracticien
La rédaction
La rédaction
Indépendance
Indépendance
DPC
DPC
JNMG
JNMG
Annonces
Annonces
E-suppléments
E-suppléments
La Revue du Praticien
Navigation principale
Actualités
Vient de paraître
Tests
Culture
Recherche
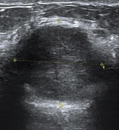
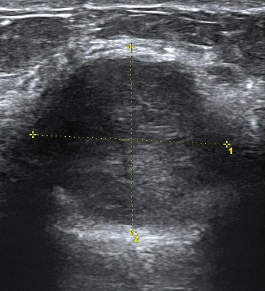
Tumeurs du sein - Cancer nodulaire chez une femme de 30 ans
Fil d'Ariane
Image
Tumeurs du sein - Cancer nodulaire chez une femme de 30 ans
© Sylvie Lemery - La Revue du Praticien
Echographie, masse BIRADS 5.
Lire aussi
Article Web
Cancer du sein et de la prostate : NutriNet-Santé pointe du doigt les émulsifiants
Article Web
Cancer du sein : nouvelles recos sur les dosages à ARN
Exercice
Testez-vous sur l’item 290
Article Web
Cancers du sein : des progrès !
Article Web
Cancer du sein : faut-il dépister dès 40 ans ?
Article
Avancées thérapeutiques dans le cancer du sein HER2+