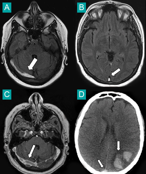
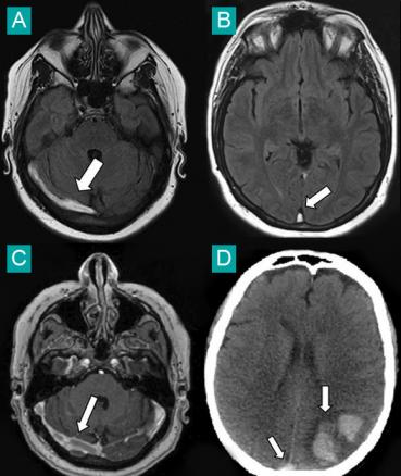
A. Imagerie par résonance magnétique (IRM) en séquence FLAIR : thrombose du sinus latéral droit (flèche).B. IRM en séquence FLAIR : thrombose du sinus longitudinal supérieur (flèche).C. IRM en séquence veineuse injectée : absence d'opacification du sinus latéral droit (flèche).D. Tomodensitométrie non injectée : thrombose du sinus longitudinal supérieur (flèche) et hémorragie parenchymateuse (flèche).