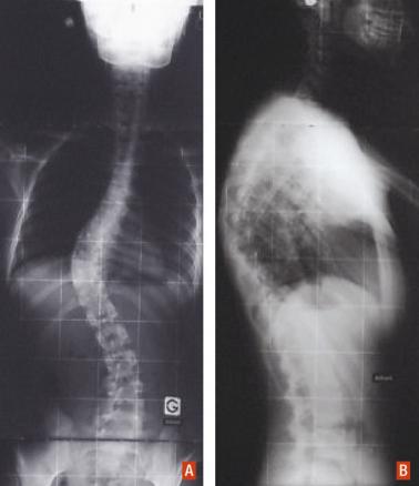
Radiographie du rachis en entier de face (A) et de profil (B) d’une jeune fille ayant une scoliose dorsale droite.