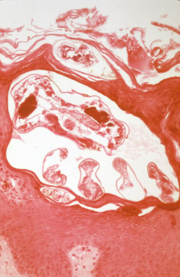
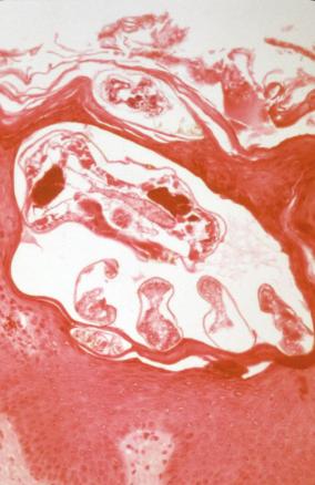
©La Revue du Praticien, Christophe Bédane Sarcopte dans le stratum corneum (HES*40). Dans certains cas, l’histologie standard peut mettre en évidence le sarcopte au niveau du stratum corneum.