Skip to main navigation
Header navigation
Newsletters
Librairie
Plus
Sous menu plus
larevuedupracticien
larevuedupracticien
La rédaction
La rédaction
Indépendance
Indépendance
DPC
DPC
JNMG
JNMG
Annonces
Annonces
E-suppléments
E-suppléments
La Revue du Praticien
Navigation principale
Actualités
Vient de paraître
Tests
Culture
Recherche
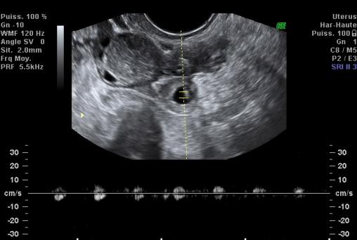
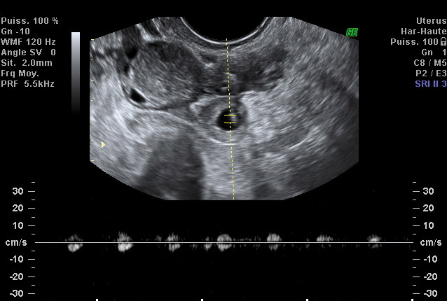
Sac gestationnel extra-utérin
Fil d'Ariane
Image
Sac gestationnel extra-utérin
Sac gestationnel extra-utérin avec activité cardiaque.
Lire aussi
Exercice
Dossier progressif n°245
Article
Suspicion de GEU : faire un test de grossesse !
Article
Grossesse extra-utérine
Exercice
Dossier progressif n°7