Skip to main navigation
Header navigation
Newsletters
Librairie
Plus
Menu du compte de l'utilisateur
S'abonner
Bookmark page
Sous menu plus
larevuedupracticien
larevuedupracticien
La rédaction
La rédaction
Indépendance
Indépendance
DPC
DPC
JNMG
JNMG
Annonces
Annonces
E-suppléments
E-suppléments
La Revue du Praticien
Navigation principale
Actualités
Vient de paraître
Tests
Culture
Recherche
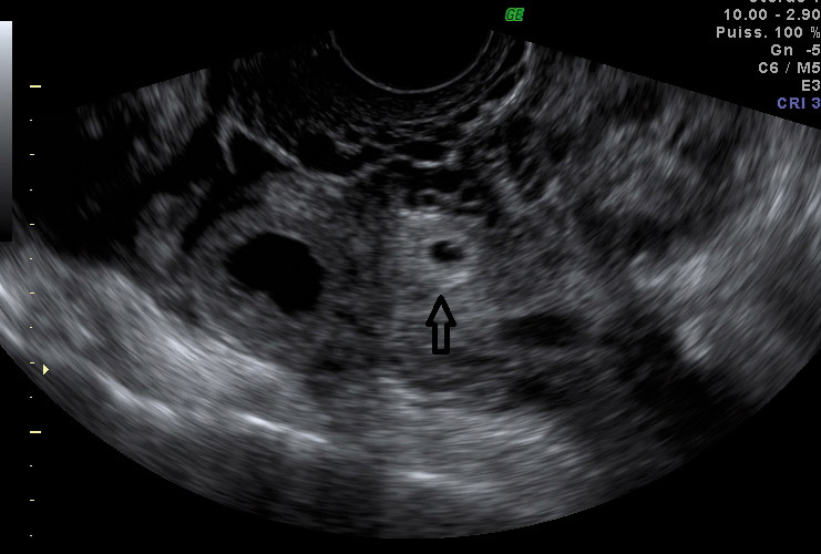
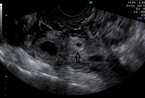
Sac gestationnel extra-utérin
Lire plus tard
Partager
Imprimer
Ce contenu est exclusivement réservé aux abonnés
Fil d'Ariane
Image
Sac gestationnel extra-utérin
Image en cocarde (flèche) du sac gestationnel extra-utérin, proche de l’ovaire droit.
Lire aussi
Exercice
Dossier progressif n°245
Article
Suspicion de GEU : faire un test de grossesse !
Article
Grossesse extra-utérine
Exercice
Dossier progressif n°7