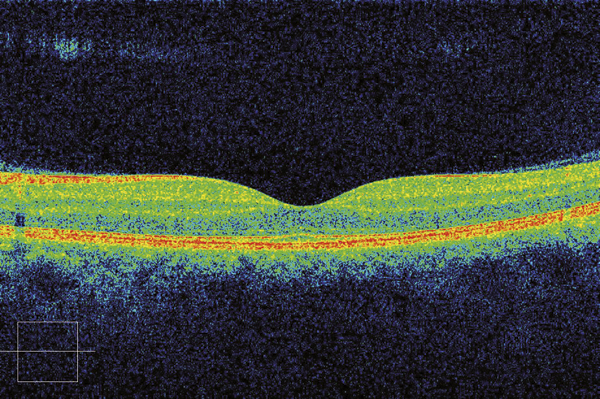
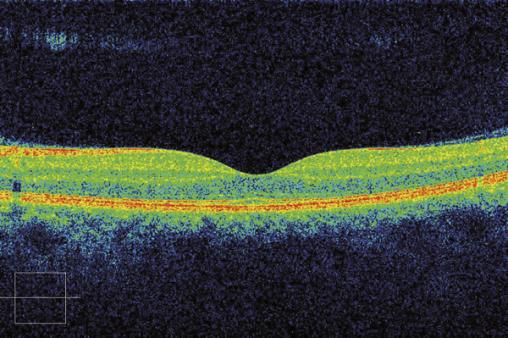
© Jean-François Korobelnik, La Revue du Praticien Tomographie en cohérence optique d'une rétine maculaire normale.