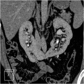
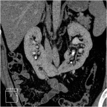
Raphaëlle Renard-Penna, La Revue du Praticien Tomodensitométrie avec injection au temps mixte néphrographique et excrétoire. Reins lithiasiques en fer à cheval.