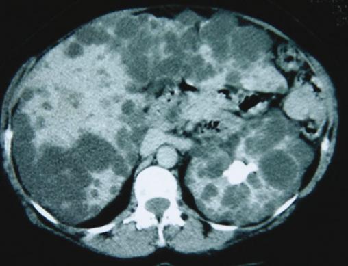
La Revue du Praticien - Jacques Belghiti Lorsqu’il existe plusieurs kystes associés à une maladie polykystique rénale on parle de polykystose hépato rénale.