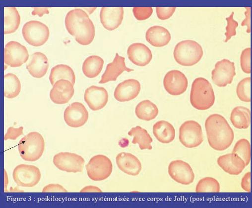
La poïkilocytose est la présence de globules rouges de formes différentes. Sa description est importante pour le diagnostic d’une anémie lorsqu’elle est systématisée