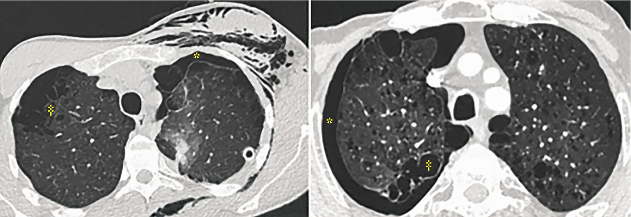
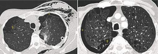
Pneumothorax spontané (*) et emphysème (‡). Figure à gauche, patient de 29 ans, 12 PA, 42 JA. à droite, patient de 65 ans, 100 PA.