Skip to main navigation
Header navigation
Newsletters
Librairie
Plus
Menu du compte de l'utilisateur
S'abonner
Bookmark page
Sous menu plus
larevuedupracticien
larevuedupracticien
La rédaction
La rédaction
Indépendance
Indépendance
DPC
DPC
JNMG
JNMG
Annonces
Annonces
E-suppléments
E-suppléments
La Revue du Praticien
Navigation principale
Actualités
Vient de paraître
Tests
Culture
Recherche
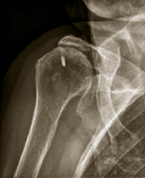
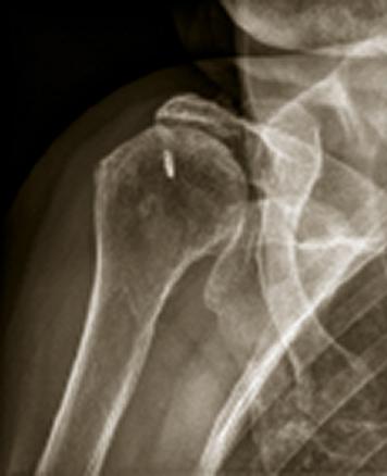
Omarthrose excentrée
Lire plus tard
Partager
Imprimer
Ce contenu est exclusivement réservé aux abonnés
Fil d'Ariane
Image
Omarthrose excentrée
Radiolographie d'une marthrose excentrée
Lire aussi
Exercice
Image mystérieuse n°449
Exercice
Quels exercices physiques en cas d’arthrose ?
Exercice
QCM sur l’item 129
Exercice
Vrai ou faux sur l’item 129 (partie 2)
Exercice
Vrai ou faux sur l’item 129 (partie 1)
Exercice
Testez-vous sur l’item 129 (partie 2)