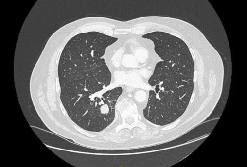
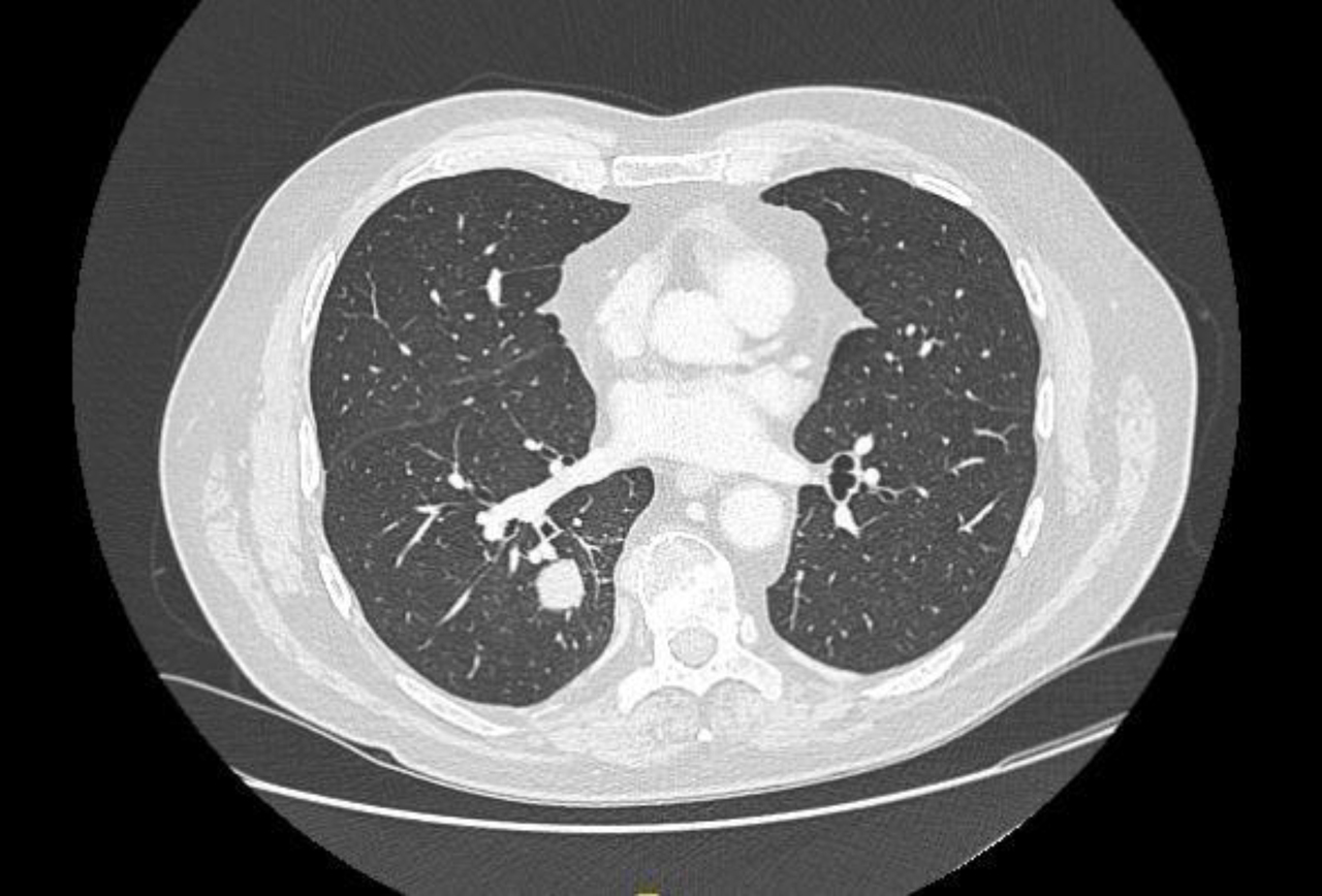
Institut Gustave Roussy Scanner thoracique de surveillance. Coupe de scanner thoracique en fenêtre parenchymateuse, un nodule du lobe inférieur droit d’allure solide et suspecte (contours spiculés).