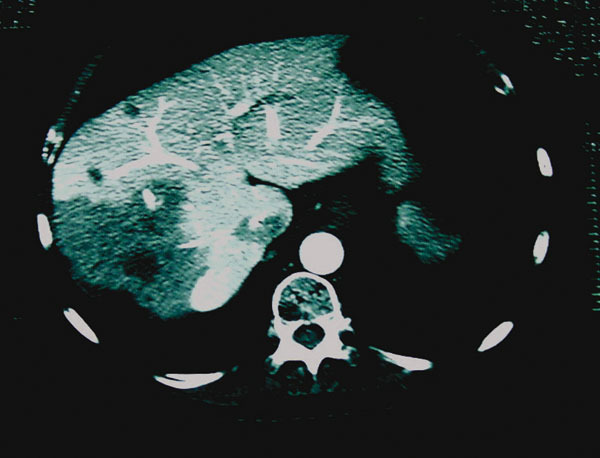
La Revue du Praticien - Jacques Belghiti Image unique hypodense avec un halo hypervasculaire. Sur le porto-scanner, visualisation de 3 autres lésions.