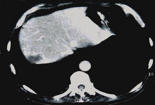
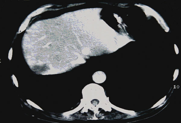
La Revue du Praticien - Jacques Belghiti Image unique hypodense avec un halo hypervasculaire périphérique.