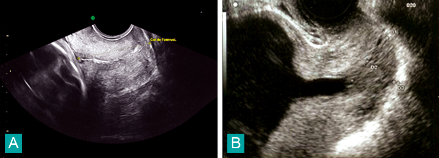
Charlotte Laplane, Claude d’Ercole (La Revue du Praticien) Écographie du col :A. Col normal.B. Col raccourci.