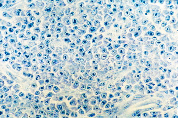
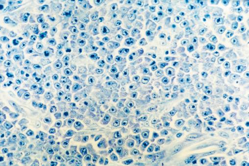
Biopsie ganglionnaire. Nappe homogène de grandes cellules à noyaux nucléolés infiltrant l'ensemble du ganglion (coloration par Giemsa).