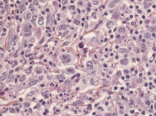
Caractérisé par des cellules tumorales de Reed-Sternberg au noyau multinucléé entourées par un infiltrat de cellules réactionnelles du système immunitaire.
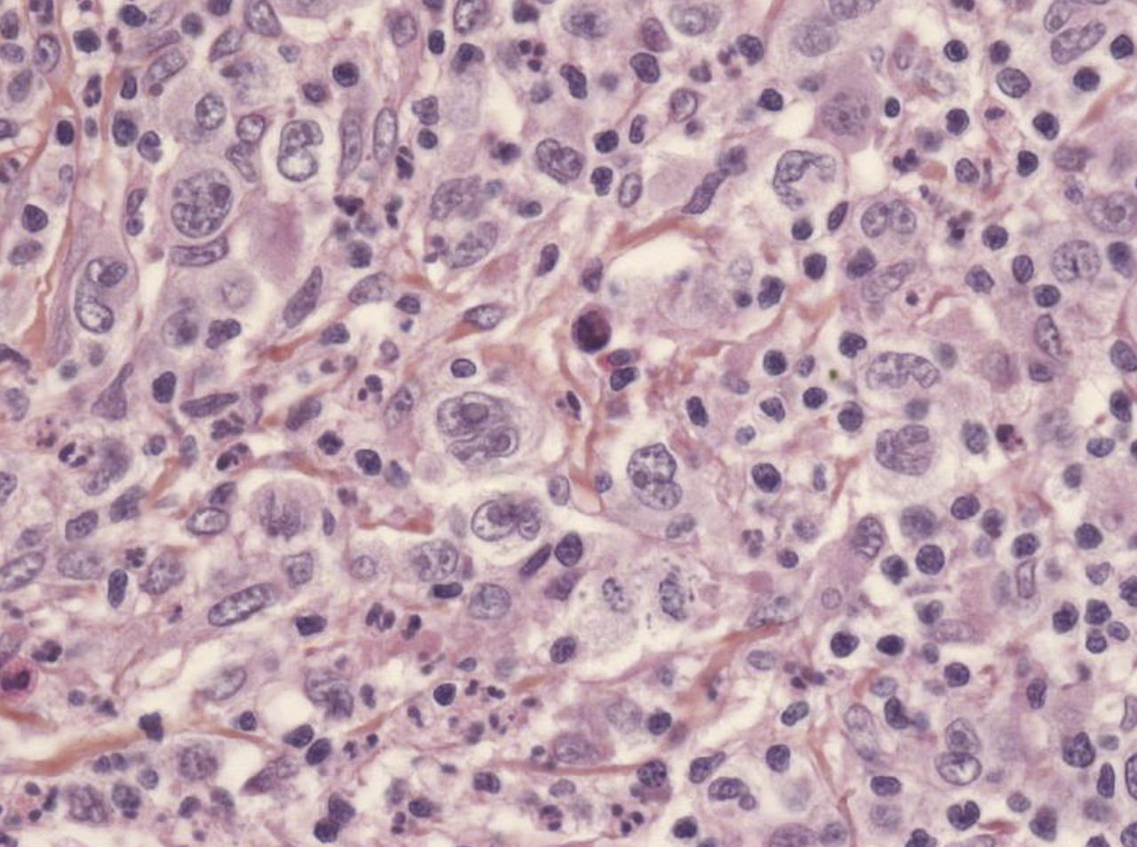
Caractérisé par des cellules tumorales de Reed-Sternberg au noyau multinucléé entourées par un infiltrat de cellules réactionnelles du système immunitaire.