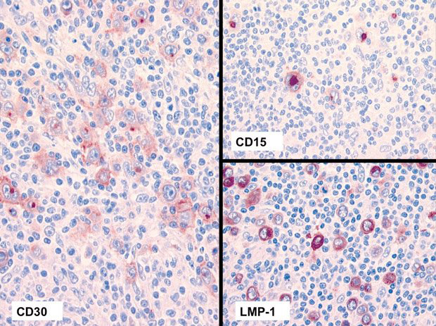
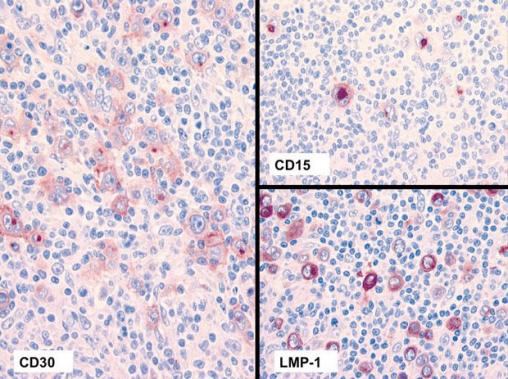
© Pr J. Audouin (service d'anatomie et de cytologie pathologiques, Hôtel-Dieu), La Revue du Praticien
Lymphome hodgkinien classique : les cellules tumorales expriment CD15, CD30 et LMP-1. Voir : Molina TJ. Classification des lymphomes. Rev Prat 2010;60:48-52.