© Pr J. Audouin (service d'anatomie et de cytologie pathologiques, Hôtel-Dieu), La Revue du Praticien
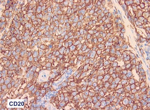
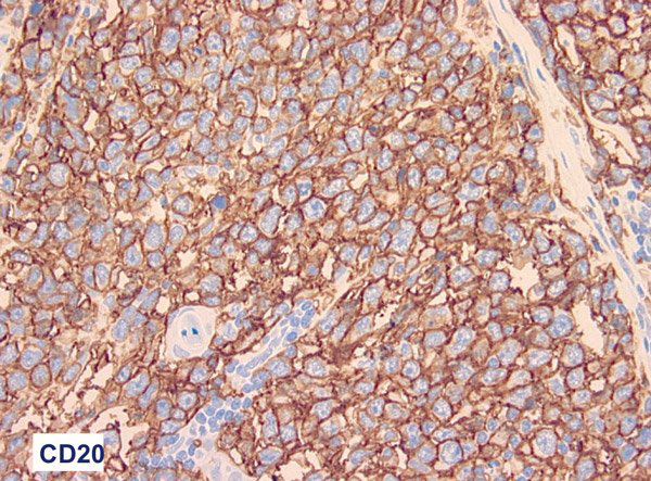
Les cellules tumorales expriment CD20 sous forme d’une vive positivité membranaire. Voir : Molina TJ. Classification des lymphomes. Rev Prat 2010;60:48-52.