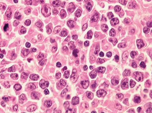
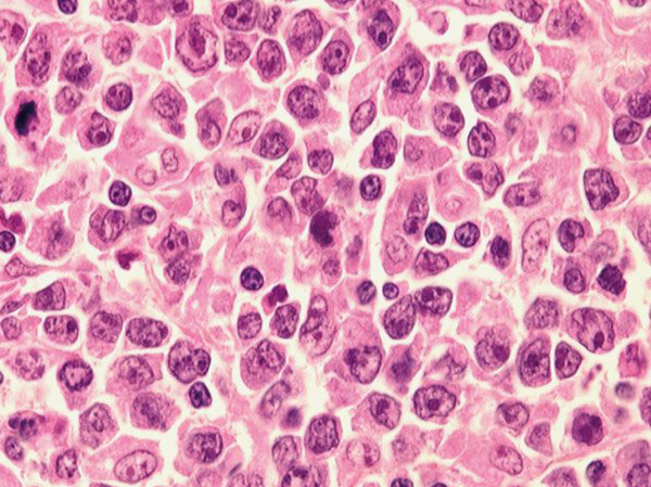
© Pr J. Audouin (service d'anatomie et de cytologie pathologiques, Hôtel-Dieu), La Revue du Praticien Voir : Molina TJ. Classification des lymphomes. Rev Prat 2010;60:48-52.