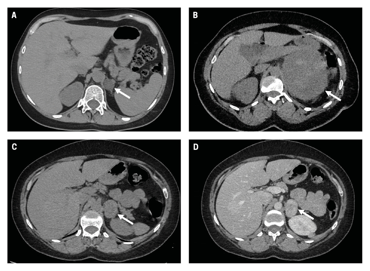
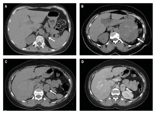
A. TDM en contraste spontané montrant un adénome surrénalien gauche (flèche) : lésion à contours réguliers, homogène, densité spontanée < 10 UH. 

B. TDM en contraste spontané montrant un cortisosurrénalome gauche (flèche) : lésion à contours irréguliers, hétérogène, de grande taille, avec effet de masse sur les organes adjacents. 

C. et D. Phéochromocytome gauche (flèches) : TDM en contraste spontané montrant une lésion à contours réguliers, légèrement hétérogène (C) et TDM avec injection de produit de contraste iodé en phase artérielle (D) montrant un rehaussement de la lésion de façon hétérogène à la suite de l’injection.