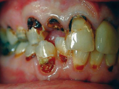
Guy Princ, La Revue du Praticien Lésions carieuses évoluées avec destruction de la couronne de la dent n°12. Les foyers infectieux dentaires peuvent être responsables d’endocardites par greffes bactériennes sur une valvulopathie.