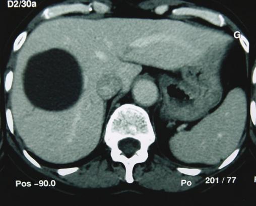
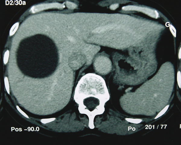
Il s’agit d’une malformation très fréquente, rarement unique, qui peut être découverte chez plus de 1% des adultes avec une nette prédominance féminine.