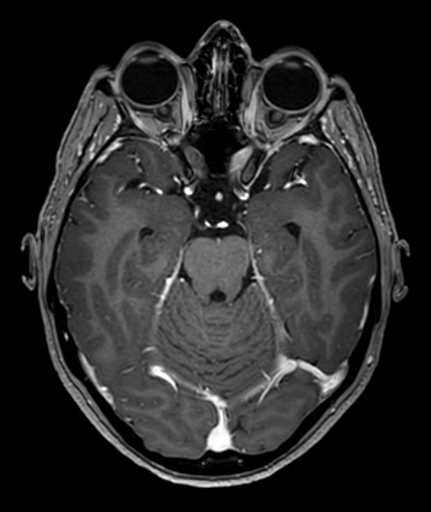
Coupe axiale en séquence T1 : on a une séquence dite anatomique, avec la substance grise qui est grise et la substance blanche qui est blanche (par opposition à la séquence en T2 dite anti-anatomique). Il y a une injection de gadolinium avec rehaussement des sinus veineux. De plus, on peut s’orienter avec une séquence T1, car le liquide cérébro-spinal dans les ventricules latéraux est noir.