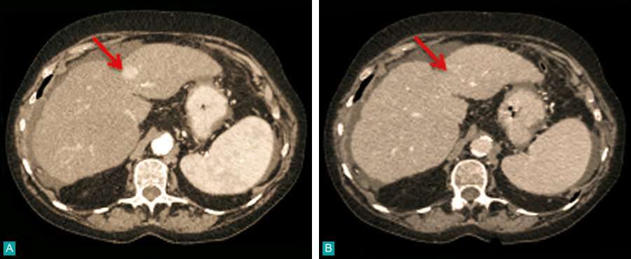
La Revue du Praticien - Jean-Frédéric Blanc Scanner. Avec hypervascularisation intense au temps artériel (A) et lavage (wash-out) au temps portal tardif (B).CHC sur foie de cirrhose.