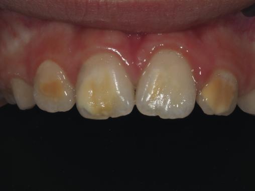
Atteintes MIH (molar incisor hypomineralisation) modérées à sévères sur des incisives permanentes maxillaires (dents n° 11, 12, 21, 22)
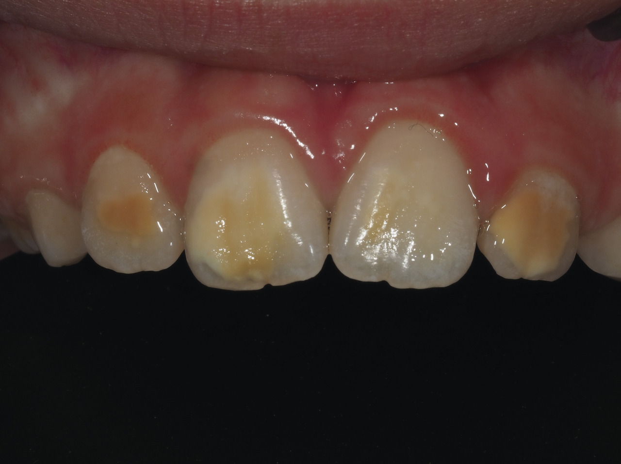
Atteintes MIH (molar incisor hypomineralisation) modérées à sévères sur des incisives permanentes maxillaires (dents n° 11, 12, 21, 22)