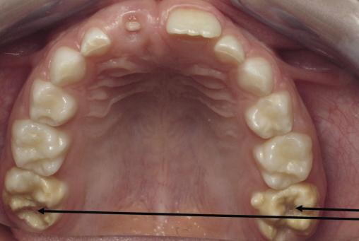
Atteintes MIH sur les premières molaires permanentes maxillaires (dents n° 16 et 26). Noter l’asymétrie des lésions et les pertes de substances.
Atteintes MIH sur les premières molaires permanentes maxillaires (dents n° 16 et 26). Noter l’asymétrie des lésions et les pertes de substances.