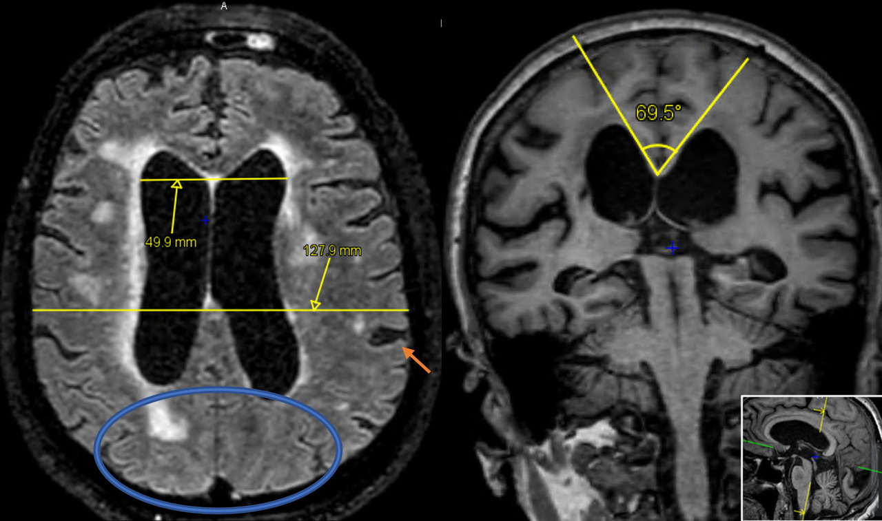
IRM  typique d'une patiente atteinte d'hydrocéphalie à pression normale. L’indice d’Evans est de 0,39. Les sillons postérieurs sont comprimés (ovale bleu), quelques dilatations focales des sillons pariétaux  (flèche orange) sont observées ainsi que des hypersignaux de la substance blanche périventriculaire. L’angle calleux, mesuré sur une ligne perpendiculaire à la ligne CA-CP passant par la CP, est de 69 °.

CA : commissures antérieures ; CP : commissures postérieures.