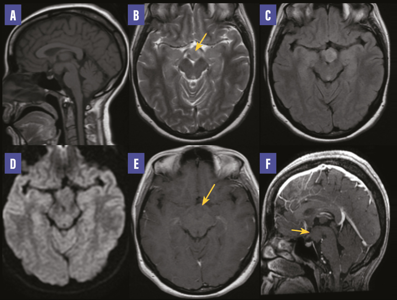
Imagerie par résonance magnétique cérébrale : sagittal T1 (A), axial T2 (B), FLAIR (C), diffusion (D), T1 après injection (axial et sagittal) [E, F]. Formation hypothalamique en isosignal T1, hypersignal T2 et FLAIR sans hypersignal diffusion et sans rehaussement après injection de chélates de gadolinium.
Lire aussi
Article