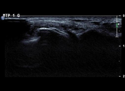
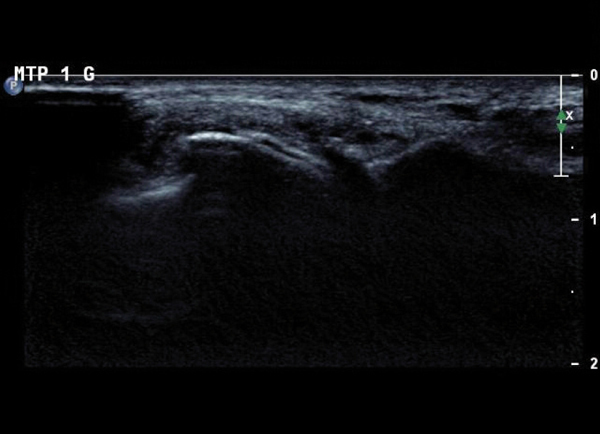
Échographie de la 1re métatarsophalangienne. Aspect dit en « double contour », correspondant à des dépôts uratiques à la surface des cartilages hyalins et un aspect de synovite en « tempête de neige » chargée en cristaux d’urate. Tiré de : Chalès G, Guggenbuhl P. Arthropathie microcristalline. Rev Prat 2013;63(5):709-20.