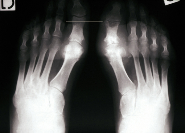
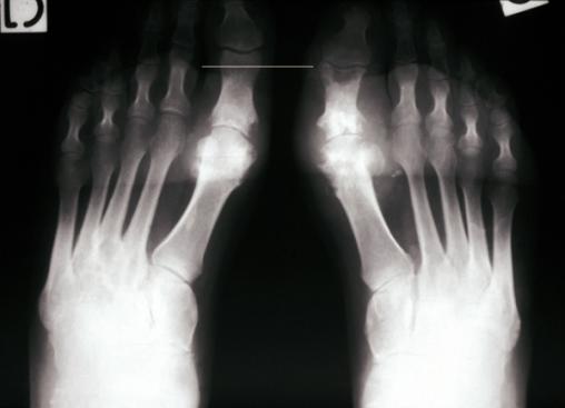
© Gérard Chalès, Pascal Guggenbuhl (La Revue du Praticien) Radiographie avant-pied pied (face). Goutte : encoches épiphysaires, aspect en hallebarde, interligne conservé. Voir : Chalès G, Guggenbuhl P. Arthropathie microcristalline. Rev Prat 2013;63(5):709-20.