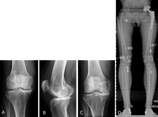
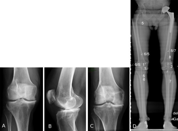
Patient de 57 ans opéré il y a 17 ans d'une reconstruction du ligament croisé antérieur associé à une méniscectomie médiale partielle. Gonarthrose fémoro-tibiale médiale modéré sur le cliché de face (A) et de profil (B) mais démasquée sur les clichés en schuss (C) sur un genou normo-axé (D).