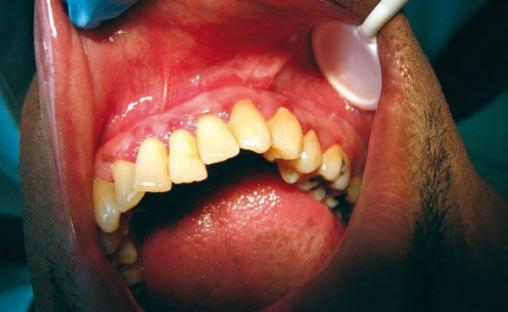
Guy Princ, La Revue du Praticien Gingivite due à la plaque dentaire. La gencive au collet des dents (du tartre dentaire) est érythémateuse et légèrement hypertrophique.