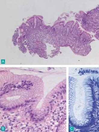
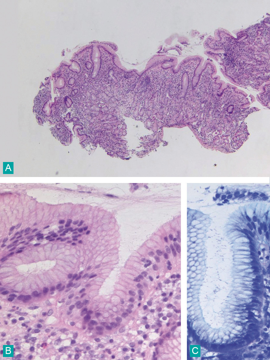
Biopsie gastrique : infiltrat inflammatoire du chorion, avec présence de polynucléaires dans l'épithélium (A, B). La coloration de Giemsa (C) modifié met en évidence de nombreux Helicobacter pylori dans la lumière des glandes et le revêtement épithélial.
Lire aussi
Article