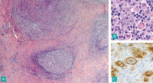
© Julie Bruneau, Nicole Brousse (La Revue du Praticien)
Destruction de l'architecture ganglionnaire, remaniements fibreux délimitant des nodules. Infiltrat cellulaire polymorphe (A), contenant en particulier des cellules de Sternberg (B) qui expriment le CD30 (C).