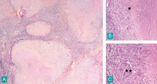
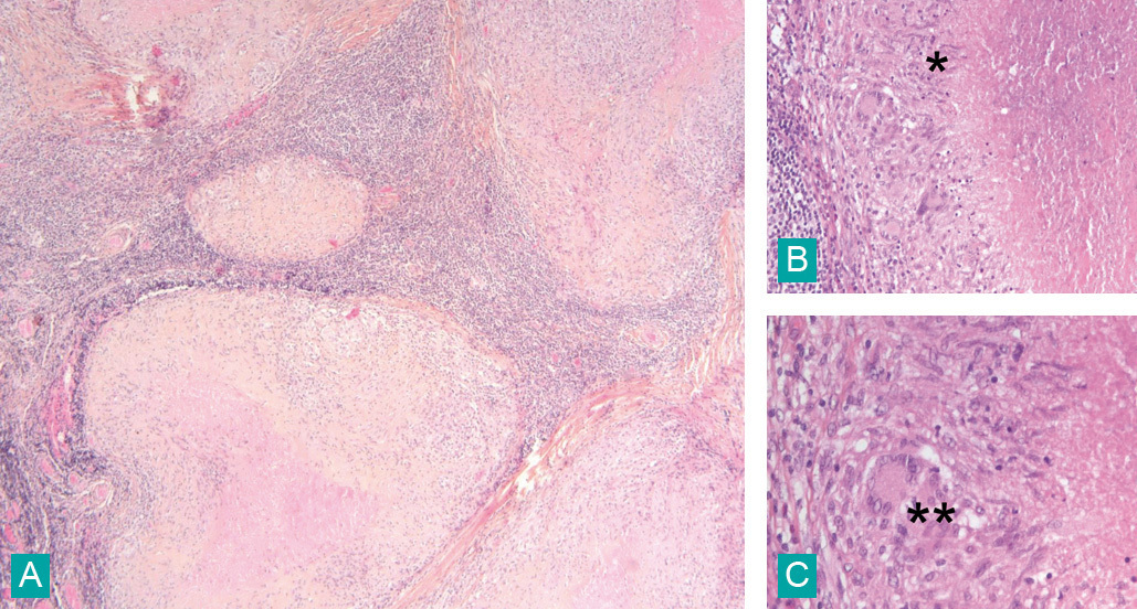
© Julie Bruneau, Nicole Brousse (La Revue du Praticien) Présence de nodules granulomateux tuberculoïdes, avec nécrose centrale (A) et couronne palissadique épithélioïde et gigantocellulaire (B,*) : cellules géantes multinucléées de Langhans (C,**).