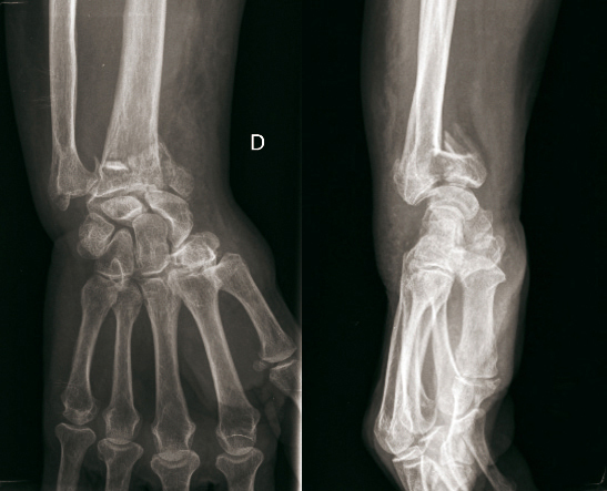
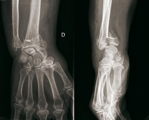
© Henry Coudane, Frédéric Éloy (La Revue du Praticien) Fracture articulaire. (À gauche) Radio de face. (À droite) Radio de profil.