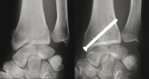
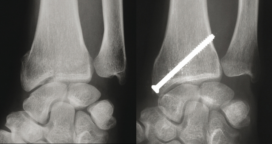
© Guillaume Herzberg, La Revue du Praticien (À gauche) Fracture marginale externe détachant un gros fragment de styloïde radiale.(À droite) Traitement : brochage percutané ou sous contrôle arhtroscopique.