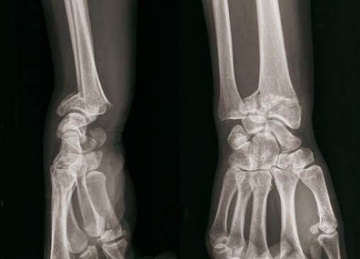
© Henry Coudane, Frédéric Éloy (La Revue du Praticien) Fracture articulaire complexe à déplacement postérieur. (À gauche) Radio de profil. (À droite) Radio de face.