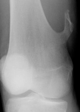
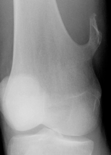
Exostose : saillie osseuse en continuité avec la corticale
La Revue du Praticien - Franck Dujardin
Il s'agit d'une tumeur bénigne se formant au cours de la croissance mais persistant chez l'adulte. Elle peut être l'occasion de conflit avec les parties molles environnantes. Elles peuvent dégénérer sous forme maligne.