Skip to main navigation
Header navigation
Newsletters
Librairie
Plus
Sous menu plus
larevuedupracticien
larevuedupracticien
La rédaction
La rédaction
Indépendance
Indépendance
DPC
DPC
JNMG
JNMG
Annonces
Annonces
E-suppléments
E-suppléments
La Revue du Praticien
Navigation principale
Actualités
Vient de paraître
Tests
Culture
Recherche
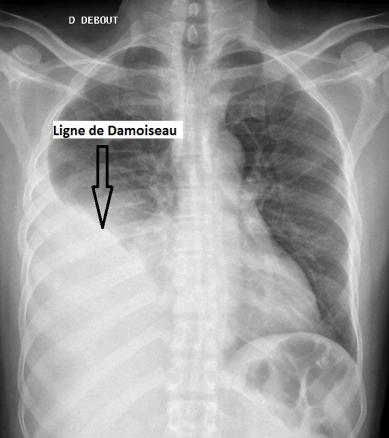
Épanchement pleural droit
Fil d'Ariane
Image
Épanchement pleural droit
É. Crickx, La Revue du Praticien
Radiographie thoracique
Lire aussi
Exercice
Image mystérieuse n°438
Exercice
Dossier progressif n°123