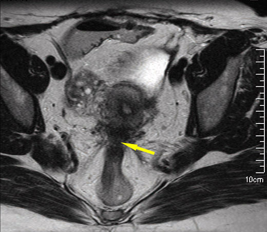
Imagerie par résonance magnétique,en coupe axiale, en pondération T2 passant par le col utérin montrant un épaississement arciforme irrégulier hypo-intense rétrocervical typique d’atteinte endométriosique du torus uterinus et des deux ligaments utéro-sacrés avec atteinte postérieure par contiguïté de la face antérieure du rectosigmoïde. Tiré de : Darai É, Bazot M, Ballester M. Endométriose. Rev Prat 2010;60:603-9.
Lire aussi
Article Web
Exercice
Article