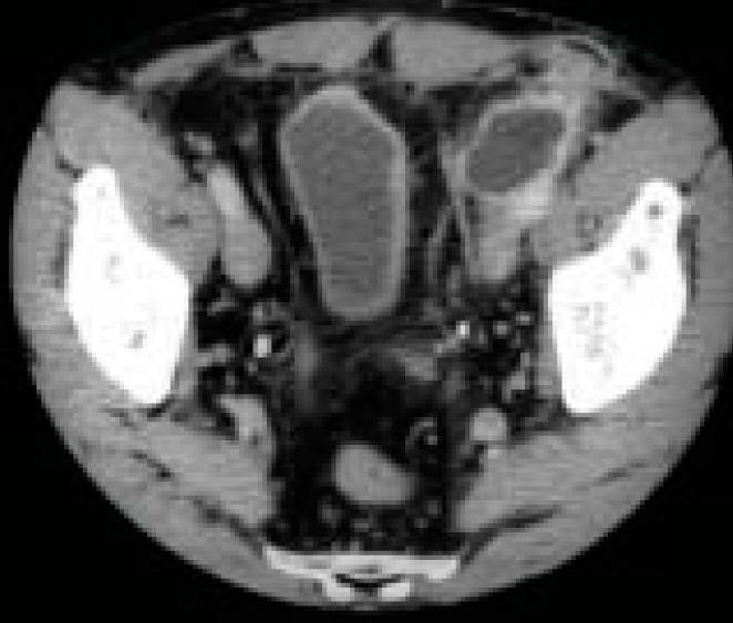
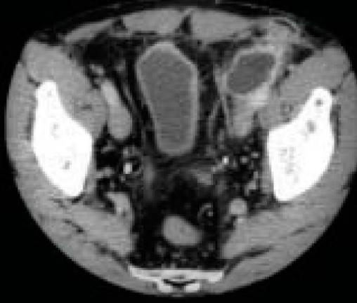
Tomodensitométrie abdominale. Douleurs inguinales après pose d'un plug. Mise en évidence d'un abcès au contact du plug. Voir : Rohr S, Steinmetz JP, Brigand C, Meyer C. Diagnostic et complications des hernies de l'aine. Rev Prat 2003;53(15):1645-50.
Lire aussi
Article