Skip to main navigation
Header navigation
Newsletters
Librairie
Plus
Menu du compte de l'utilisateur
S'abonner
Bookmark page
Sous menu plus
larevuedupracticien
larevuedupracticien
La rédaction
La rédaction
Indépendance
Indépendance
DPC
DPC
JNMG
JNMG
Annonces
Annonces
E-suppléments
E-suppléments
La Revue du Praticien
Navigation principale
Actualités
Vient de paraître
Tests
Culture
Recherche
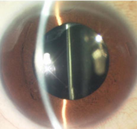
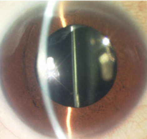
Cornée, chambre antérieure et implant de cataracte
Lire plus tard
Partager
Imprimer
Ce contenu est exclusivement réservé aux abonnés
Fil d'Ariane
Image
Cornée, chambre antérieure et implant de cataracte
Guy de Saint Sauveur, La Revue du Praticien
Examen du segment antérieur.
Lire aussi
Article
Abcès de cornée, deux heures pour réagir !
Exercice
Dossier progressif n°197
Exercice
Dossier progressif n°168
Article
Laser femtoseconde dans la cataracte : quel intérêt ?
Exercice
Dossier progressif n°124
Exercice
Dossier progressif n°36