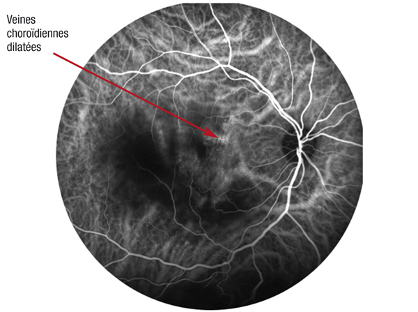
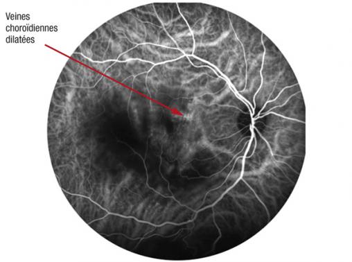
© Alain Gaudric, La Revue du Praticien Angiographie au vert d'indocyanine montrant des veines choroïdiennes anormalement dilatées dans une choriorétinite séreuse centrale.