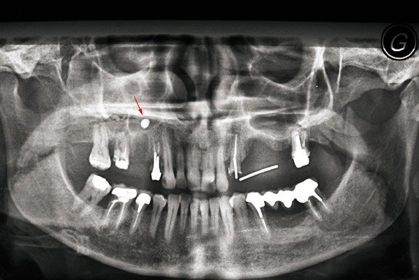
Dépassement de pâte dentaire inter-sinusien en regard de l’alvéole déshabitée de 15 (flèche). Les apex des molaires et des prémolaires ayant des rapports étroits avec les sinus maxillaires, ces dents peuvent être en cause dans la survenue des sinusites maxillaires, en règle générale chroniques et unilatérales. À noter que l’aspergillose sinusienne est une complication classique liée au dépassement de pâte d’obturation canalaire en intra-sinusien lors d’un traitement endodontique.